

後悔したくない
あなたへ
一生に一度の矯正治療を
名医のもとで行いませんか?
ダブルライセンス取得
- 日本矯正歯科学会 臨床指導医
(認定医の上位資格) - ヨーロッパ舌側矯正歯科学会
認定医(裏側矯正の世界的権威)

他院のやり直しまで対応できる
ワイズ板橋歯科・おとなこども矯正歯科
無料
カウンセリング
実施
板橋駅から
徒歩1分
全ての
治療法に
対応
まずは当院の症例実績をご覧くださいここまで綺麗に
歯並びは改善します
上の前歯が出ているので口が閉じない小さい時から出っ歯のためとてもコンプレックスだった
-
Before

上の前歯が
出ているのが
気になる... -
After

出っ歯が改善し、
バッチリ噛み合うように
なりました!
-
- 治療内容
- 裏側(舌側)のワイヤー矯正
-
- 治療期間と
金額 - 18ヶ月・月々25,000円
※院内分割を利用 ※頭金あり(15万円)
- 治療期間と
-
- リスク
- 裏側についているワイヤー装置が舌や口の中の粘膜に当たると傷をつけてしまうことがあります。
しかし、装置の付け方を上手に工夫すれば多少防ぐことができます。
- この症例を詳しく見る
-
-
Before
-
After
こちらは治療前後の上の歯の写真です。
治療後は、上の飛び出た前歯が正常の位置に戻り、バッチリ噛み合うようになりました。
上と下の歯が正しく噛み合うことで、噛む力が正しく伝わり口や顎、さらには全身の健康にも繋がります。
裏側矯正は、歯の裏側に装置をつけるため目立たないのが利点ですが、他にも、表側矯正に比べ早い段階で前歯を内側に動
かすことができるため、効果を早く実感できる点も裏側矯正の強みです。 -
矯正装置にこだわりはないが早く治したい他院では抜歯が必要になるため
マウスピース矯正はできないと言われたが、本当か?
-
Before

前歯のガタガタ、
特に八重歯が
気になる... -
After

歯並びが改善され、
第一印象も
とても良くなりました!
-
- 治療内容
- マウスピース型矯正装置
(インビザライン)による全体矯正
-
- 治療期間と
金額 - 24ヶ月・月々20,000円
※院内分割を利用 ※頭金あり(19万円)
- 治療期間と
-
- リスク
- マウスピースを1日20時間ほど装着する必要があります。また治療後は、歯根吸収や歯並びの後戻りがありますが、定期的にメンテナンスに通っていただければ予後も良好に過ごすことができます。
- この症例を詳しく見る
-
早く歯並びを治したいとのことでしたので、精密検査の結果、インビザラインによるマウスピース矯正をご提案しました。
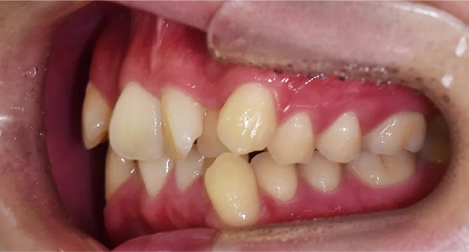
こちらは治療前の2つの別の角度から撮影した口腔内写真です。この方は顎が小さいため、全ての歯が綺麗に並ばず、おしくらまんじゅうのように歯が歪んで成長し、
このようにガタガタになっておりました。そのため歯が正常に並ぶように合計3本抜歯する必要がありました。
※抜歯は口腔外科の知識が必要になるため、矯正専門のクリニックでは対応できず、他院に依頼するが多いです。しかし当院
は口腔外科専門医がいるため抜歯にも対応できます。治療後は歯並びが劇的に改善されました。ぜひ治療前後の写真を見比べてみてください。
-
Before
-
After
-




矯正治療の矯正をご検討中の方はご注意ください闇
闇1矯正歯科の実態
なぜこんなに多くのクリニックで
矯正治療は行われているのか?
矯正治療は、歯科医師であれば誰でも行うことが
できますので、
今では多くのクリニックで
矯正治療を受けることができます。
しかしそのせいで、
- 腕の良い矯正医(歯科医院)を
見つけるのが大変 - 格安マウスピース矯正だけど
本当に治るのだろうか? - 以前矯正したが、治療後の
歯並びや噛み合わせに不満がある
と感じていらっしゃる方も多いはず...
実際、矯正の失敗事例やそのやり直しを求めている
患者様が多数いらっしゃいます。
また、「安いマウスピース矯正」には
それだけの理由があります。
安さを追求すると、
矯正治療の質は落ちてしまうため、
治療のやり直しが必要になる場合があります。
矯正治療は、高度な専門知識と
職人的な技術が要求されるため
歯科医師ごとの経験の差が
出やすい医療行為です。
闇2都内某所による
詐欺事件
実質無料のモニタートラブルにより
多くの患者様が、
治療費を払っているのに
満足のいく治療を受けられない詐欺事件が
近年いくつか起きています。
当院でもモニター制度はございますが、
担当の矯正医が治療中はもちろん治療後まで
満足できる矯正治療を責任持って
提供いたしますので、ご安心ください。
患者様一人一人を長期的にサポートいたします。

歯並びはもちろん、
噛み合わせなどの健康面も含めた
矯正治療を提供したい。
当院はそのような想いで
治療を患者様に提供しています。
知って
ほしい
他にない当院の特別な強み
ダブルライセンス取得

日本矯正歯科学会
臨床指導医(全ドクターの1%未満)
- 臨床指導医という資格とは?
-
認定医のさらに上の資格。
矯正治療のスペシャリスト厚生労働省のデータによると、現在日本では約10万人の歯科医師がいますが、日本矯正歯科学会の「臨床指導医」の資格を持っている歯科医師はそのうち約380人しかおらず、全体の0.38%(1,000人に3〜4人)だけです。
ちなみに、日本矯正歯科学会の認定医は、2,500人(全体の2.5%)です。
ヨーロッパ舌側矯正
歯科学会 認定医
- ヨーロッパ舌側矯正歯科学会とは?
-
ヨーロッパ最大の矯正学会の認定資格
舌側矯正とは、歯の裏側に装置をつける「裏側矯正」のことです。ヨーロッパを始めたとした先進国では日本以上に矯正治療が盛んに行われており、その中でもヨーロッパ矯正歯科学会(ESLO)はヨーロッパで最大級の学会の一つです。
当院の院長は認定試験に合格した認定医で、この資格を持った矯正医は日本でも数えるほどしかいません。
さらに、インビザライン
ダイヤモンドプロバイダー
(年間150症例以上)
- ダイヤモンドプロバイダーとは?
-
ダイヤモンドプロバイダーとは、インビザライン社公式の称号(ランク)のことで、年間150以上のインビザライン症例を行った歯科医師に与えられます。当院は2年連続でこのダイヤモンドプロバイダーを取得しており、年々矯正治療の症例数は増えています。
まだまだある!当院の特長


ワイヤーの表側・裏側、
さらにはマウスピース矯正まで、
全ての矯正治療法に対応
矯正治療の手段はいくつかありますが、当院ではほぼ全ての矯正装置を取り扱っているため、患者様の適応に合わせて治療手段を選択することができます。


金利0%の
分割払いが可能
一生を左右する大事な治療である矯正をできるだけ治療費で諦めてほしくないため、当院では分割払いであっても手数料を頂かず、一括払いと同じ金額で治療を受けていただけます。


治療期間を短縮できる
加速矯正にも対応
コルチコトミーという加速矯正を行うことができますので、治療期間を最大半分に短縮することができます。
通常、コルチコトミーは外科的処置を伴うため、矯正医だけでは対応することができませんが、当院は口腔外科の専門医も在籍していますので、矯正医と口腔外科医のタッグで他のクリニックではあまり対応できない加速矯正も可能です。


治療費と治療期間を
大幅に減らすことができる
「部分矯正」にも対応
全顎(全ての歯)だけではなく、前歯だけの部分矯正も可能ですので、お気軽にご相談ください。ワイヤー・マウスピースどちらでも対応可能です。


最新のデジタル技術を用いた
矯正治療で
歯・顎骨・全身を整える
最新の「iTero element 5D」という口腔内3Dスキャナー(歯の型取りを行う機器)を完備しているため、今まではできなかった細かな歯の表面や凸凹まで3Dデータとして取り込むことが可能です。また、スキャン直後に治療のシミュレーションができるため、より安心で安全に治療に臨んでいただけます。


虫歯・歯周病の治療、
親知らずの抜歯まで
一つのクリニックで対応できる
総合歯科
当院には矯正医だけではなく、口腔外科や小児歯科などの多くの分野の専門医が在籍していますので、複合的な治療を行うことができます。ぜひ歯並び以外のお悩みもご相談ください。
Doctor
ドクター紹介ダブルライセンスを取得した矯正医

ワイズ会 理事長
鈴木 雄士
日々矯正治療の技術・技量・装置は進化しつつあり、現在はマウスピース矯正で歯並びを改善できるのは当たり前の時代になってきました。
まだまだ日本では対応している歯科医院は少ないですが、当院ではこれまで多くの症例に対応してきた実績があります。大事なお子様の歯並びに関してお困りごと心配事がありましたら、ぜひ一度当院にご相談いただけたらと思います。
経歴
- 日本大学松戸歯学部 卒業
- 医療法人社団 聖蹟会 埼玉県央病院 歯科口腔外科 常勤
- 日本大学松戸歯学部 大学院 歯科矯正学講座入局
- 日本大学松戸歯学部 大学院卒業 歯学博士
- 東京医薬専門学校 衛生士科 非常勤講師
- ワイズ板橋歯科・おとなこども矯正歯科 開業
- 立川ワイズ歯医者・歯並びの矯正歯科 開業
- 医療法人社団ワイズ会 理事長 就任
- 日本大学松戸歯学部歯科矯正学講座 兼任講師
他院との比較・検討、
セカンドオピニオンも対応
ダブルライセンス取得の歯科医師が在籍していますので、これまで数多くの種類の症例を診てきました。
その患者様にとって本当に必要な治療方法は何なのか、その答えが私たちにはあります。
他院で迷われている方、難しい症例で諦めようとしている方も、まずはお気軽に無料相談にお越しください。
料金表
当院の治療費は決して安くありません。
しかし治療結果にはきっとご満足いただけます。
矯正治療には多種多様な矯正器具、
また全顎矯正(全ての歯)と部分矯正(前歯だけ)の選択もあるため、
選択肢が多く患者様ご自身ではなかなか決められないこともあるかと思います。

多くのクリニックでは、
患者様の希望に従って
治療内容を決定しますが、
当院では少し違います。
当院では、患者様のご要望はもちろんお伺いしますが、
患者様によっては
ご希望の治療手段より
もっと適した治療手段がある場合、
矯正は患者様の一生を左右する治療のため、
私たちプロの目線で患者様にあった
治療プランをご提案させていただきます。
- 矯正のご相談無料
- ワイヤー矯正表側:95万円 / 裏側:120万円
- インビザライン100万円
- 部分矯正(1本あたり)表側:4万円 / 裏側:5万円
- 小児矯正40万円
総額提示制
(トータルフィー制度)のため、
全て含まれています
- 診断料
- 矯正装置代金
- 調整代
- 保定装置代金
- 治療後の管理料
※子どもの矯正は調整代がかかります
矯正相談と最新機器
iTero element 5DiTero
element 5Dを
用いた
簡易シミュレーションが
無料!
矯正治療を受ける場合、複数のクリニックの比較は必要不可欠です。
実際私たちのクリニックにも他院ですでに治療相談を
受けていらっしゃる患者様が毎日来院されます。
その感情は至極当たり前で、高額の治療費を支払う矯正治療は
誰でも失敗したくないものです。

そこで当院では、患者様の
矯正治療の後押しになればと思い、
矯正相談を無料で
実施しています。 ぜひお気軽に当院にお越しください。
クリニック一覧Clinic
-
板橋院
〒170-0012 東京都豊島区上池袋4-47−4
リレント上池袋パート1 104 パート Ⅱ
03-5944-5549
JR「板橋駅」徒歩1分 -
立川院
〒190-0023
東京都立川市柴崎町3-10-20立川渡辺ビル 2階
042-506-1770
JR「立川駅」徒歩3分/
モノレール「立川南駅」徒歩1分
よくある質問
- どのような歯並びでも
治療可能ですか? - はい、対応可能です。
抜歯が必要になるような難しい症例でも、当院だけで完結するのが私たちの強みです。
逆に、軽度であれば全顎ではなく部分矯正も対応できる可能性があります。
- 抜歯をすることはありますか?
- できる限り健康な歯を抜かないことを治療方針としていますので、極力抜歯は選択しません。
しかし、どうしても抜歯が必要な場合は事前にしっかりご説明し、ご納得いただいた上で行いますので、
ご安心ください。
- 治療期間はどのくらいですか?
- 歯並びの状況によって変わりますが、部分矯正の場合は3〜12ヶ月、
全顎矯正の場合は24〜30ヶ月ほどです。
- クレジットカードでも
支払いは可能ですか? - 現金・クレジットカードでのお支払いが可能です。
- 分割払いは可能ですか?
- 金利0%の院内分割が可能です。無駄な手数料を払う必要がないので、ほぼ全ての患者様がこちらを選択されます。月々のお支払いは1〜2万円/月になりますので、無理なく矯正を始められます。
※治療費に応じて頭金あり










