裏側矯正 症例集
出っ歯を治したい
その他の裏側矯正の症例
上の前歯が出ているのが
気になる
before

after

before

after

before

after

主訴 | 上の前歯が出ているのが 気になる |
---|---|
治療期間 | 23ヶ月 |
治療回数 | 25回 |
治療費 | 105万円+税 |
治療内容 | 裏側矯正による全体矯正 上下顎両側4番抜歯 インプラントアンカー |
リスク | 歯根吸収、歯肉退縮、知覚過敏 |
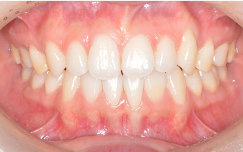
前歯が出ているのが
気になる
before

after

主訴 | 前歯が出ているのが気になる |
---|---|
治療期間 | 18ヶ月 |
治療回数 | 20回 |
治療費 | 100万円+税 |
治療内容 | 裏側矯正による全体矯正 上下顎両側4番抜歯 |
リスク | 歯根吸収、歯肉退縮、知覚過敏 |
上の前歯が出ている
before

after

主訴 | 上の前歯が気になる |
---|---|
治療期間 | 2年半 |
治療回数 | 32回 |
治療費 | 100万円+税 |
治療内容 | 上下顎裏側矯正(全顎) 上下顎4番抜歯 |
リスク | 歯根吸収 |
下の前歯のガタガタ
before

after

主訴 | 下の前歯のガタガタ |
---|---|
治療期間 | 2年 |
治療回数 | 26回 |
治療費 | 100万円+税 |
治療内容 | 上下顎裏側矯正 非抜歯 |
リスク | 歯根吸収 |
上の前歯が気になる
before

after

主訴 | 上の前歯が出ているのが気になる |
---|---|
治療期間 | 2年半 |
治療回数 | 32回 |
治療費 | 90万円+税 |
治療内容 | ハーフリンガル矯正 上顎両側4番抜歯 |
リスク | 歯根吸収 |