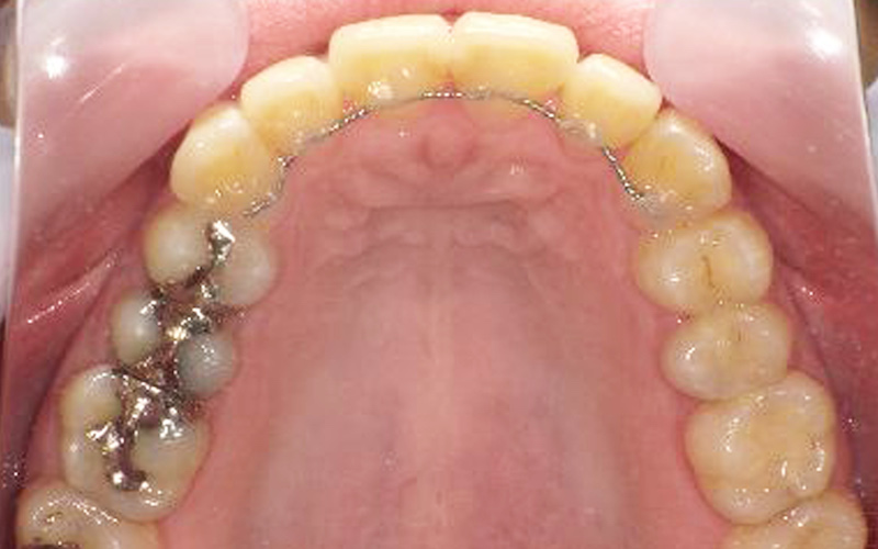
上の前歯だけの症例
case.1 前歯が凹んでいる
Before

After

主訴 | 前歯が凹んでいる |
---|---|
治療期間 | 6ケ月 |
治療回数 | 6回 |
治療費 | 24万円+税 |
治療内容 | 表側部分矯正(上顎のみ) |
リスク | 歯根吸収、痛み、カリエスリスク、歯周病、知覚過敏症状 |
case.2 前歯がハの字になっている
Before

After

主訴 | 前歯がハの字になっている |
---|---|
治療期間 | 5ケ月 |
治療回数 | 5回 |
治療費 | 32万円+税 |
治療内容 | 裏側部分矯正(上顎のみ) |
リスク | 歯根吸収、痛み、カリエスリスク、歯周病、知覚過敏症状 |
case.3 上の前歯の
ガタガタが気になる
Before

After

主訴 | 上の前歯のガタガタが気になる |
---|---|
治療期間 | 6ケ月 |
治療回数 | 6回 |
治療費 | 24万円+税 |
治療内容 | 表側部分矯正(上顎のみ) |
リスク | 歯根吸収、痛み、カリエスリスク、歯周病、知覚過敏症状 |
case.4 上の前歯の
ガタガタが気になる
Before

After

主訴 | 上の前歯のガタガタが気になる |
---|---|
治療期間 | 6ケ月 |
治療回数 | 6回 |
治療費 | 24万円+税 |
治療内容 | 表側部分矯正(上顎のみ) |
リスク | 歯根吸収、痛み、カリエスリスク、歯周病、知覚過敏症状 |
case.5 上の前歯の
ガタガタが気になる
Before

After

主訴 | 上の前歯のガタガタが気になる |
---|---|
治療期間 | 7ケ月 |
治療回数 | 7回 |
治療費 | 32万円+税 |
治療内容 | 裏側部分矯正(上顎のみ) |
リスク | 歯根吸収、痛み、カリエスリスク、歯周病、知覚過敏症状 |
case.6 上の前歯の
ガタガタが気になる
Before

After

主訴 | 上の前歯のガタガタが気になる |
---|---|
治療期間 | 6ケ月 |
治療回数 | 6回 |
治療費 | 24万円+税 |
治療内容 | 表側部分矯正(上顎のみ) |
リスク | 歯根吸収、痛み、カリエスリスク、歯周病、知覚過敏症状 |
case.7 前歯の横の歯が
引っ込んでいる
Before

After

主訴 | 前歯の横の歯が引っ込んでいる |
---|---|
治療期間 | 6ケ月 |
治療回数 | 6回 |
治療費 | 32万円+税 |
治療内容 | 表側部分矯正(上顎のみ) |
リスク | 歯根吸収、痛み、カリエスリスク、歯周病、知覚過敏症状 |
case.8 上の前歯の
ガタガタが気になる
Before

Ater

主訴 | 上の前歯のガタガタが気になる |
---|---|
治療期間 | 8ケ月 |
治療回数 | 8回 |
治療費 | 24万円+税 |
治療内容 | 表側部分矯正(上顎のみ) |
リスク | 歯根吸収、痛み、カリエスリスク、歯周病、知覚過敏症状 |
case.9 上の前歯の
ガタガタが気になる
Before

After

主訴 | 上の前歯のガタガタが気になる |
---|---|
治療期間 | 8ケ月 |
治療回数 | 8回 |
治療費 | 24万円+税 |
治療内容 | 表側部分矯正(上顎のみ) |
リスク | 歯根吸収、痛み、カリエスリスク、歯周病、知覚過敏症状 |
case.10 上の前歯の
ガタガタが気になる
Before

After

主訴 | 上の前歯のガタガタが気になる |
---|---|
治療期間 | 6ケ月 |
治療回数 | 6回 |
治療費 | 24万円+税 |
治療内容 | 表側部分矯正(上顎のみ) |
リスク | 歯根吸収、痛み、カリエスリスク、歯周病、知覚過敏症状 |
case.11 上の前歯の
ガタガタが気になる
Before

After

主訴 | 上の前歯のガタガタが気になる |
---|---|
治療期間 | 6ケ月 |
治療回数 | 6回 |
治療費 | 24万円+税 |
治療内容 | 表側部分矯正 |
リスク | 歯根吸収、痛み、カリエスリスク、歯周病、知覚過敏症状 |
case.12 上の前歯の
ガタガタが気になる
before

after

主訴 | 上の前歯のガタガタが気になる |
---|---|
治療期間 | 7ヶ月 |
治療回数 | 7回 |
治療費 | 27万5千円 |
治療内容 | 上顎前歯部分矯正(表側) |
リスク | 歯根吸収 |
case.13 上の前歯の
歯並びが気になる
before

after

主訴 | 上の前歯の歯並びが気になる |
---|---|
治療期間 | 6ヶ月 |
治療回数 | 6回 |
治療費 | 30万4千円 |
治療内容 | 裏側部分矯正 (リンガル部分矯正) |
リスク | 歯根吸収 |
case.14 上の前歯の
ガタガタが気になる
before

after

主訴 | 上の前歯のガタガタが気になる |
---|---|
治療期間 | 8ヶ月 |
治療回数 | 8回 |
治療費 | 30万4千円 |
治療内容 | 裏側部分矯正 (リンガル部分矯正) |
リスク | 歯根吸収 |
case.15 上の前歯の
ガタガタが気になる
before

after

主訴 | 上の前歯のガタガタが気になる |
---|---|
治療期間 | 8ヶ月 |
治療回数 | 8回 |
治療費 | 30万4千円 |
治療内容 | 上顎前歯部分矯正 裏側部分矯正 (リンガル部分矯正) |
リスク | 歯根吸収 |
case.16 上の前歯の
ガタガタが気になる
before

after

主訴 | 上の前歯のガタガタが気になる |
---|---|
治療期間 | 11ヶ月 |
治療回数 | 11回 |
治療費 | 24万円 |
治療内容 | 上顎前歯部分矯正(表側) 上顎左側1番 抜歯 |
リスク | 正中のズレ 歯根吸収 |
case.17 上の前歯の
ガタガタが気になる
before

after

主訴 | 上顎のみ |
---|---|
治療期間 | 1年 |
治療回数 | 12回 |
治療費 | 30万円 抜歯1本=5000円 附属装置 6万円 |
治療内容 | 表側部分矯正、1本抜歯、 ディスキング |
リスク | 歯根吸収、歯肉退縮、 知覚過敏、疼痛 |
case.18 上の前歯の
ガタガタが気になる
before

after

主訴 | 上顎のみ |
---|---|
治療期間 | 1年1ヶ月 |
治療回数 | 13回 |
治療費 | 30万円 抜歯1本=5000円 |
治療内容 | 表側部分矯正、1本抜歯、 ディスキング |
リスク | 歯根吸収、歯肉退縮、 知覚過敏、疼痛 |