下の前歯だけの症例
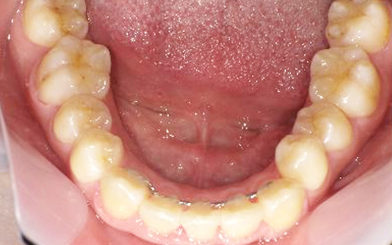
case.1 下の八重歯が気になる
Before

After

主訴 | 下の八重歯が気になる |
---|---|
治療期間 | 8ケ月 |
治療回数 | 8回 |
治療費 | 30万円+税 |
治療内容 | 表側部分矯正(下顎のみ) |
リスク | 歯根吸収、痛み、カリエスリスク、歯周病、知覚過敏症状 |
case.2 下の前歯の
ガタガタが気になる
Before

After

主訴 | 下の前歯のガタガタが気になる |
---|---|
治療期間 | 5ケ月 |
治療回数 | 5回 |
治療費 | 24万円+税 |
治療内容 | 表側部分矯正(下顎のみ) |
リスク | 歯根吸収、痛み、カリエスリスク、歯周病、知覚過敏症状 |
case.3 下の前歯の
ガタガタが気になる
Before

After

主訴 | 下の前歯のガタガタが気になる |
---|---|
治療期間 | 6ケ月 |
治療回数 | 6回 |
治療費 | 21万円+税 |
治療内容 | 前歯1本抜歯、表側部分矯正 |
リスク | 歯根吸収、痛み、カリエスリスク、歯周病、知覚過敏症状 |
case.4 下の前歯の
ガタガタが気になる
Before

After

主訴 | 下の前歯のガタガタが気になる |
---|---|
治療期間 | 6ケ月 |
治療回数 | 6回 |
治療費 | 21万円+税 |
治療内容 | 前歯1本抜歯、表側部分矯正 |
リスク | 歯根吸収、痛み、カリエスリスク、歯周病、知覚過敏症状 |
case.5 下の前歯の
ガタガタが気になる
before

after

主訴 | 下の前歯のガタガタが気になる |
---|---|
治療期間 | 5ヶ月 |
治療回数 | 5回 |
治療費 | 30万4千円 |
治療内容 | 裏側部分矯正 (リンガル部分矯正) |
リスク | 歯根吸収 |