出っ歯を治したい
上の前歯が出ているのが気になる
患者様の情報
初診日 | 2020/7/1 |
---|---|
年齢 | 20代女性 |
治療内容 | 裏側矯正による全体矯正 |
上の前歯が出ているのが気になるので、目立たない装置で矯正をしたいとお悩みでした。
治療前後の写真の比較
before

after

当院からの提案
患者様はカウンセリングの時から「口を閉じづらい」「上の前歯が出ているのを後ろに下げたい」とお話しされていました。
診断を行い患者様のお口の状況を正確に判断したあと、元々下の歯が2本少ないため上下顎のバランスが悪いこと、上顎両側4番を抜歯する可能性が高いことをお話しさせていただきました。
また、できる限り目立たない装置を希望されておりましたので、当院からは上下顎裏側矯正装置での治療をご提案いたしました。
抜歯の判断
口元のお写真でも分かるように口を閉じるのが困難で前歯で物が噛めない状態でした。
治療上、上顎両側4番抜歯、智歯抜歯(親知らずの抜歯)が必要だったため、上顎の抜歯と智歯の抜歯もご納得していただき、裏側矯正治療を開始しました。
裏側矯正スタート
裏側矯正治療の流れ
1.無料カウンセリング
治療に入る前に当院では必ずカウンセリングを実施します。この際に患者様のお悩みやご要望をしっかりヒアリングし、治療の参考にいたします。
2.矯正精密検査
精密検査では患者様のお口の状態を正確に診断します。これを雑に行うと治療の結果が著しく悪くなってしまうため当院では精密検査を何よりも大事に行っております。
3.裏側矯正装置作製
患者様は見えない装置での治療をご希望とのことでしたので、当院からは裏側矯正を提案いたしました。裏側に装置を着用することで他の人から装置が見えることがないため、安心して矯正治療を受けていただくことができます。
4.上下顎装置装着
事前に行った検査や型取りの結果をもとに患者様のお口の状態に合わせた装置を作り、出来上がり次第装着していただきます。
5.上顎両側4番抜歯
顎が小さく歯列が綺麗に並び切るためのスペースがなかったため、抜歯を行いスペースを確保しました。抜歯は患者様の了承を得てから行い、またメリット・デメリットを詳細にお話ししますので、ご安心ください。
6.メンテナンス
矯正治療が終了したら装置を外し、定期的なメンテナンスに通っていただきます。これを怠ると後戻り(治療前の悪い歯並びの状態に戻ること)になってしまいます。
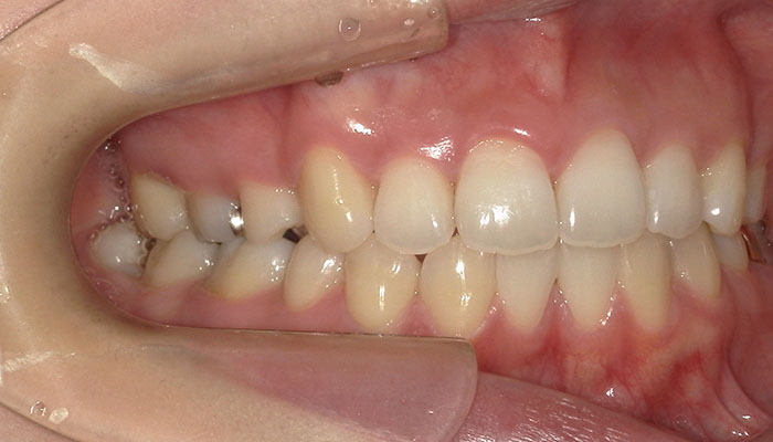
治療結果の比較
before

after

before

after

before

after

before

after

before

after

治療写真を見てみると
一切加工していないため治療前後で明るさが異なりますが、歯並びがどれだけ改善しているかは一目瞭然かと思います。技術力の高い矯正医の元できちんと治療を受ければどんな悪い歯並びも綺麗に治るのです。
本治療のまとめ
治療期間 | 18ヶ月 |
---|---|
治療回数 | 20回 |
治療内容 | 裏側矯正 |
費用 | 100万円+税 |
抜歯箇所 | 上下顎両側4番 |
治療リスク | 歯根吸収 |
担当矯正医からの所感
全ての歯を綺麗に並べるために上の4番目の歯を2本抜歯しましたが、その他の健康な歯は抜歯していません。(親知らずは抜歯しています)
裏側矯正だと表側矯正に比べ、早い段階で前歯が内側に入ってきますので治療の効果を早くに感じやすく、また見えない装置(歯の裏側につける装置)のため、他人の目が一切気にならなかったと嬉しそうに語ってくれました。
見た目も非常に良くなりましたが、思った通りに前歯で物が噛めるようになり、大変ご満足しておりました。これから、保定期間中も定期的なチェックとメンテナンスにも通っていただいております。